Chaetomidium cephalothecoides
Chaetomidium cephalothecoides (Malloch & Benny) Arx, Stud. Mycol. 8: 17 (1975)
Chaetomidium cephalothecoides (Malloch & Benny) Arx, Stud. Mycol. 8: 17 (1975)
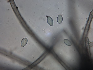
Die Haare haben im Gegensatz zu Chaetomium keine Inkrustationen sondern sind fast glatt.
Im unteren Drittel sind sie meist mit einer schmierig-wässerigen Substanz überzogen.
Erstfund für NRW
Gefunden: am 25.11.2018, Mönchengladbach Rheindahlen, MTB 4804/1, auf Schafdung (in Dose)1 Frk.
am 28.12.2018 auf gleichen Substrat ca. 80 Frk.
leg. det. H.Bender, rev. N.Heine
am 28.12.2018 auf gleichen Substrat ca. 80 Frk.
leg. det. H.Bender, rev. N.Heine











