|
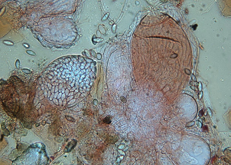
Ascozonus monascus |
|
|
|
|
|






für Deutschland wurde diese Art bisher nicht nachgewiesen.
Möglicherweise zur gleichen Zeit fanden R. Dahlhäuser und ich im Februar 2016 den Erstfund!
Ascozonus monascus1 und Ascozonus monascus2
Gefunden: am 03 bis 04.02.2016 und 08.03.2016 in MTB 4804/2 Mönchengladbach auf Kaninchendung
Asci: 87 -115 x 52 - 57,5 mµ, Sporen: 9,5 - 10,8 x 4,5 - 4,8 µm
leg. Bender, det N. Heine