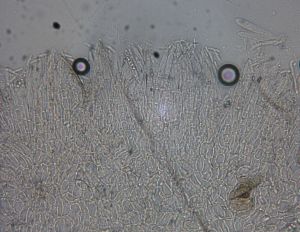
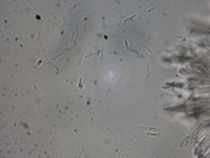
Psilachnum schoenoplecti
Psilachnum schoenoplecti (Raitv. & P. Blank) Baral, in Baral & Quijada, Index Fungorum 454: 2 (2020)
Albotricha miniata subsp. schoenoplecti Raitv. & P. Blank, Mycol. helv. 3(1): 145 (1988)
Psilachnum schoenoplecti (Raitv. & P. Blank) Baral, in Baral & Quijada, Index Fungorum 454: 2 (2020)
Albotricha miniata subsp. schoenoplecti Raitv. & P. Blank, Mycol. helv. 3(1): 145 (1988)
Erstnachweis für NRW (in Mykis)
Gefunden: 13.06.2020 in MTB 4802/4 Nähe Dahlheimer Mühle auf altem Typha latifolia Stängel
leg. J.Maassen & H.Bender, det. Ingo Wagner
leg. J.Maassen & H.Bender, det. Ingo Wagner




















