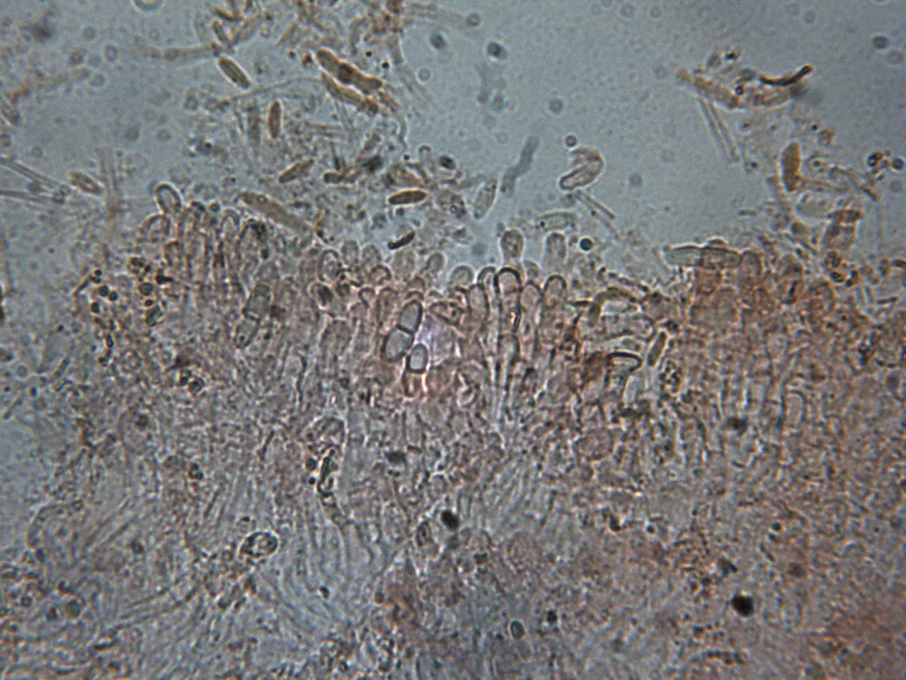
Gemmina juniperi
Gemmina juniperi (Velen.) Baral & S. Helleman, Index Fungorum 509: 1 (2022)
= Pezizella junipericola Svrček, Sb. nár. Mus. Praze 40B(3-4): 153 (1985) [1984]
= Helotium juniperi Velen., Monogr. Discom. Bohem. (Prague): 195 (1934)
Gemmina juniperi (Velen.) Baral & S. Helleman, Index Fungorum 509: 1 (2022)
= Pezizella junipericola Svrček, Sb. nár. Mus. Praze 40B(3-4): 153 (1985) [1984]
= Helotium juniperi Velen., Monogr. Discom. Bohem. (Prague): 195 (1934)
Gefunden: am 01.03.2025 in Wegberg, Freiheiderheide MTB 4803/4 an Wacholder
leg. J.Massen, K.Wehr & H.Bender , det. J.Bender. rev. O.Baral
O.Baral danke ich für den Hinweis mit den unterschiedlichen Sporengrößen in den Asci!
Ein Danke an Jochen Massen für Hinweise und Tipps zu den Kleinpilzen an diesem Wacholder.
leg. J.Massen, K.Wehr & H.Bender , det. J.Bender. rev. O.Baral
O.Baral danke ich für den Hinweis mit den unterschiedlichen Sporengrößen in den Asci!
Ein Danke an Jochen Massen für Hinweise und Tipps zu den Kleinpilzen an diesem Wacholder.














