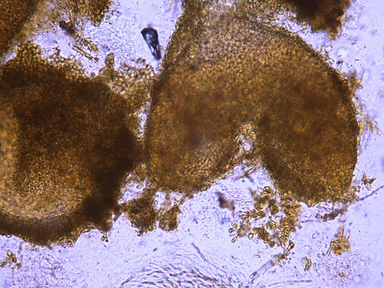
Sphaerostilbella berkeleyana
Sphaerostilbella berkeleyana (Plowr. & Cooke) Samuels & Cand., in Candoussau & Magni, Mycologist 9(1): 12 (1995)
Sphaerostilbella berkeleyana (Plowr. & Cooke) Samuels & Cand., in Candoussau & Magni, Mycologist 9(1): 12 (1995)
Gefunden: am 17.09.2024 in Mönchengladbach (Sittard) MTB 4804/3 auf altem Stereum tomentosum
leg. H.Bender, det. Thorben Hülsewig
leg. H.Bender, det. Thorben Hülsewig
.














