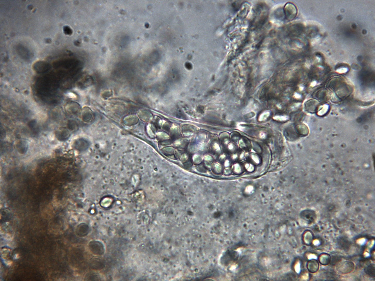
Thelebolus crustaceus
Thelebolus crustaceus (Fuckel) Kimbr., Annual Report Institute Fermentation, 1965-66 3: 49 (1967)

 
 
 
 
 
 
 
 
 
 
Gefunden: am 25.03.2023 in Mönchengladbach Giesenkirchen, auf Hundkot
 
leg. H.Bender, det. H.Bender