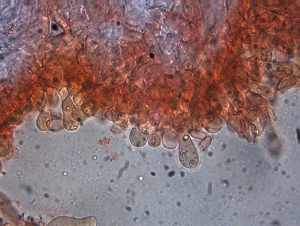
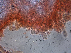
Laetiporus sulphureus
Laetiporus sulphureus (Bull.) Murrill, Mycologia 12(1): 11 (1920)
Laetiporus sulphureus (Bull.) Murrill, Mycologia 12(1): 11 (1920)
Gefunden: am 04.10.2022 in Mönchengladbach MTB 4804/2 an Robinie
leg. H.Bender, det. H.Bender
leg. H.Bender, det. H.Bender








