Psilocybe puberula
Psilocybe puberula Bas & Noordel., Persoonia 16(2): 239 (1996)
Psilocybe puberula Bas & Noordel., Persoonia 16(2): 239 (1996)
Zweitfund für Deutschland in Mykis
Fundort: Brüggen; NSG Brachter Wald (Depot); MTB: 4702,2,
Möglicherweise nicht so selten, wie es die wenigen Funde in Deutschland vermuten lassen.
In den benachbarten Niederlanden ist die Art wesentlich stärker verbreitet https://www.verspreidingsatlas.nl/0119190
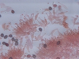
Wesentliche Bestimmungsmerkmale sind die mehr oder weniger trockene Huthaut
mit pileozystidenartigen Elementen in der Hutdeckschicht und die Anwesenheit von Pleurozystiden.
leg. K.Wehr, det. K.Wehr
Möglicherweise nicht so selten, wie es die wenigen Funde in Deutschland vermuten lassen.
In den benachbarten Niederlanden ist die Art wesentlich stärker verbreitet https://www.verspreidingsatlas.nl/0119190
Wesentliche Bestimmungsmerkmale sind die mehr oder weniger trockene Huthaut
mit pileozystidenartigen Elementen in der Hutdeckschicht und die Anwesenheit von Pleurozystiden.
leg. K.Wehr, det. K.Wehr








