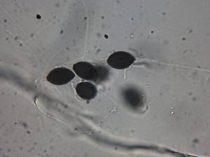
Podospora setosa
Podospora setosa (G. Winter) Niessl, Hedwigia 22: 156 (1883)
Podospora setosa (G. Winter) Niessl, Hedwigia 22: 156 (1883)
.
.
.
Gefunden: am 03.12.2017 in MTB 4804/2 Mönchengladbach auf Schafdung
sowie am 14.06.2019, auf Schafdung, 16.07.2019, Hasendung, 18.03.2020, Kaninchendung 21.09.2021, Nutriadung,
leg. H.Bender det. H.Bender
sowie am 14.06.2019, auf Schafdung, 16.07.2019, Hasendung, 18.03.2020, Kaninchendung 21.09.2021, Nutriadung,
leg. H.Bender det. H.Bender











