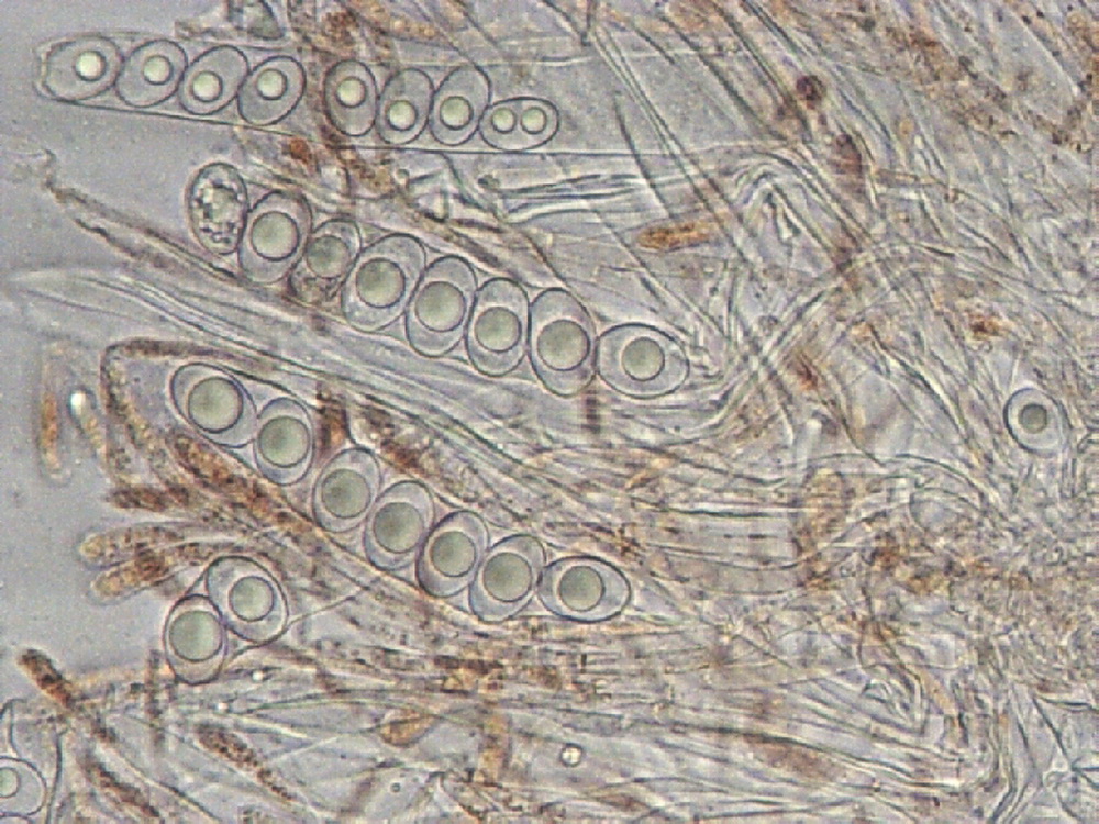
Octospora rubens
Octospora rubens (Boud.) M.M. Moser, in Gams, Kl. Krypt.-Fl., Edn 3 (Stuttgart) 2a: 111 (1963)
Octospora rubens (Boud.) M.M. Moser, in Gams, Kl. Krypt.-Fl., Edn 3 (Stuttgart) 2a: 111 (1963)
.
Gefunden: am 03.01.2020, Mönchengladbach MTB 4803/4 auf Erde
leg. det. J.Maassen rev. K.Wehr
Foto oben links J.Maassen, alle anderen von K.Wehr.
leg. det. J.Maassen rev. K.Wehr
Foto oben links J.Maassen, alle anderen von K.Wehr.





