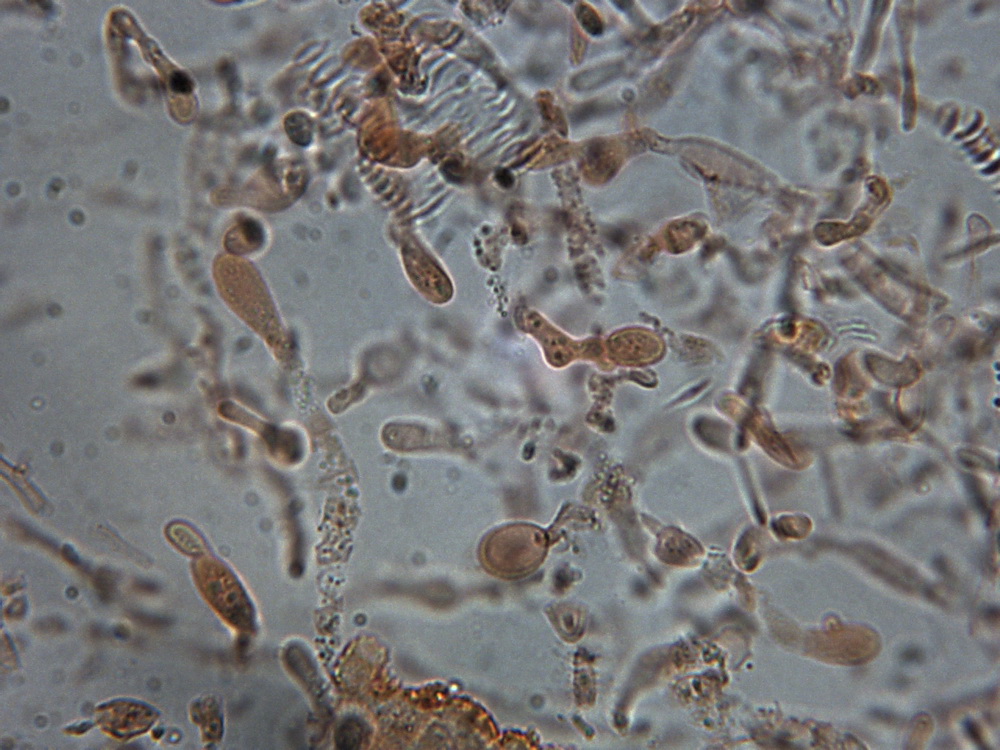
Exidia thuretiana
Exidia thuretiana (Lév.) Fr., Hymenomyc. eur. (Upsaliae): 694 (1874)
Exidia thuretiana (Lév.) Fr., Hymenomyc. eur. (Upsaliae): 694 (1874)
Gefunden: am 18.11.2021 in Mönchengladbach, Hardt MTB 4804/1 an Laubholzästchen.
leg. H.Bender, det. H.Bender
leg. H.Bender, det. H.Bender







