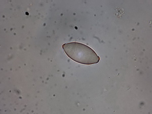
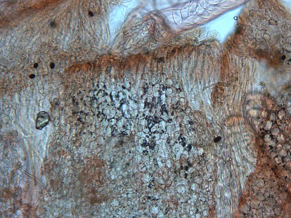
Thecotheus pelletieri
Thecotheus pelletieri (P. Crouan & H. Crouan) Boud., Annls Sci. Nat., Bot., sér. 5 10: 235 (1869)
Thecotheus pelletieri (P. Crouan & H. Crouan) Boud., Annls Sci. Nat., Bot., sér. 5 10: 235 (1869)
Gefunden: am 04.08.2020 in Mönchengladbach MTB 4803/2 auf Pferdedung.
PS: reife Sporen findet man nur wenige, ca. 1 bis 3 Asci pro Frk., wobei die Sporen dann auch aus den Asci austreten!
In der allgemeinen Auffassung zu solchen gelegentlichen Abweichungen, wird dieses nur als Spielart bwertet!
leg. J.Maassen, det. H.Bender
PS: reife Sporen findet man nur wenige, ca. 1 bis 3 Asci pro Frk., wobei die Sporen dann auch aus den Asci austreten!
In der allgemeinen Auffassung zu solchen gelegentlichen Abweichungen, wird dieses nur als Spielart bwertet!
leg. J.Maassen, det. H.Bender























