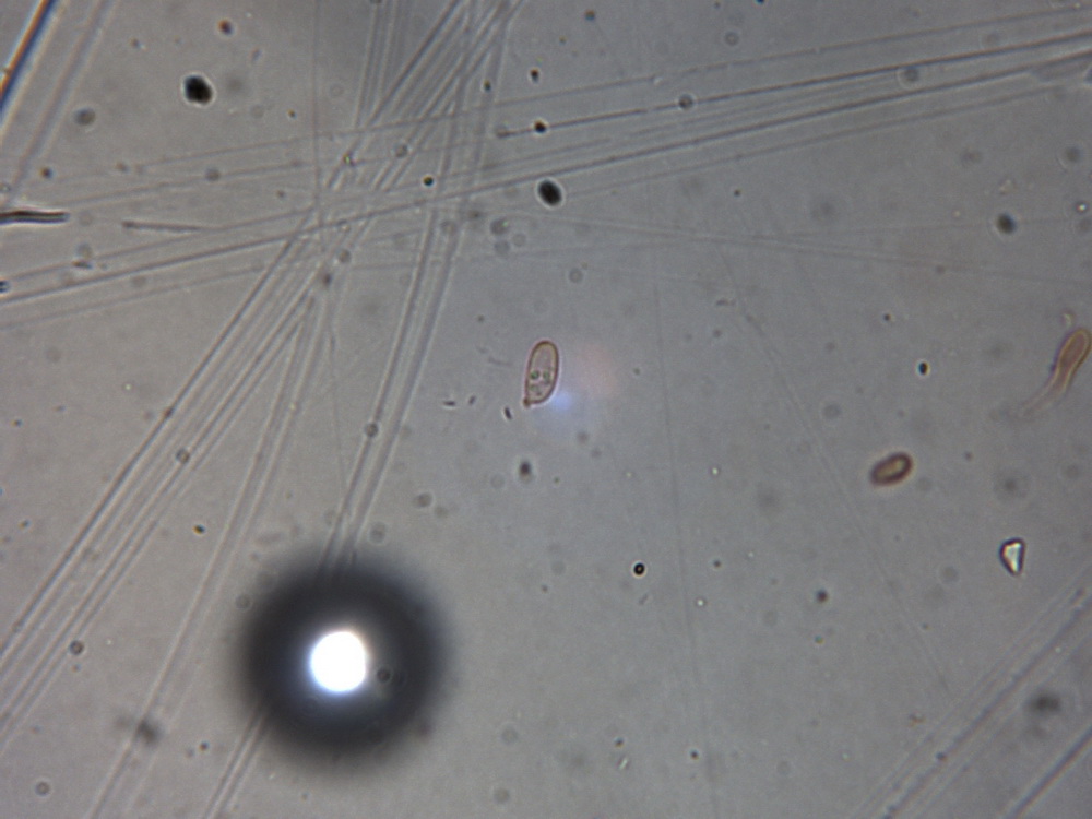
Lyophyllum tomentellum
Lyophyllum tomentellum E. Ludw. & V. Kumm., in Ludwig, Pilzkompendium (Eching) 1([2]): 327 (2001)
Lyophyllum tomentellum E. Ludw. & V. Kumm., in Ludwig, Pilzkompendium (Eching) 1([2]): 327 (2001)
Literatur: Ludwig, E. , Pilzkompendium 327.
Verwechslungsmöglichkeiten: Der Standort auf Wiese kennzeichnet diese Art.
Lyophyllum platypum wächst spät bis in den Winter auf Blättern.
Verwechslungsmöglichkeiten: Der Standort auf Wiese kennzeichnet diese Art.
Lyophyllum platypum wächst spät bis in den Winter auf Blättern.
Gefunden: am 07.10.2019, in MTB 4803/22, Nähe Rickelrath im Gras bei Pappeln.
leg. J. Maassen & H.Bender, det. H.Bender










