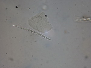
Vibrissea norvegica
Vibrissea norvegica (Gremmen) A. Sánchez, J. Agric. Univ. Puerto Rico 51: 91 (1967)
= Apostemidium norvegicum Gremmen, Nytt Mag. Bot. 6: 12 (1958)
.
Erstfund für D
Gefunden: am 08.12.2018, in Mönchengladbach Hilderath, MTB 4804/3, an Phragmites australis
leg, J.Maassen, det. H.Bender, rev. H.O.Baral
leg, J.Maassen, det. H.Bender, rev. H.O.Baral







