Zygospermella insignis
Zygospermella insignis (Mouton) Cain, Mycologia 27 (2): 227 (1935)
Home
zurück
Haare
Haare
Haare
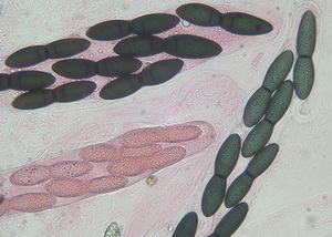
Gefunden: am 16.11.2015 in MTB 4702/2 Brüggen (Depot) Rinderdung Sporen: 59 - 71 x 13 - 16µm
Frk. klein, bis 1 mm, im Dung eingesenkt, kugelig mit pyramidenförmiger behaarter Spitze
leg. det. Bender, conf. / det. / rev. R.Dahlheuser