Erysiphe capreae
Erysiphe capreae DC. ex Duby, Bot. Gall., Edn 2 (Paris) 2: 871 (1830)
Home
zurück
Standort
Salix capreae
Salix capreae
Fruchtkörper
Fruchtkörper
Fruchtkörper
Anhängsel
Anhängsel
Anhängsel
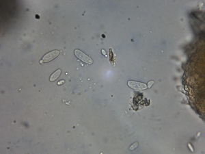
Sporen:
Sporen: 29,2 -30,5 x 15,8 - 17,5 µm
Konidien
Erysiphe tortilis
Erysiphe heraclei
Erysiphe urticae
Erysiphe alphitoides
Erysiphe euonymi
Erysiphe convolvuli var. calystegiae
Gefunden: am 30.08.2018, Mönchengladbach (Volksgarten) MTB 4804/2, auf Blättern von Salix capreae
leg. det. H.Bender