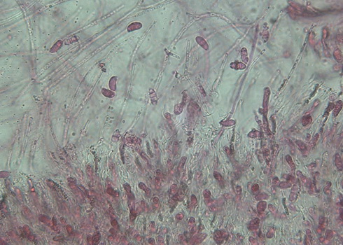
Dacrymyces microsporus
Dacrymyces microsporus P. Karst. 1889
Home
zurück
Dacrymyces stillatus
Dacrymyces capitatus
Dacrymyces minor
Gefunden: am 19.12.2015 in MTB 4702/2 Depot auf Laubholz.
Frk. gestielt, alle Hyphen ohne Schnallen,
Sporen: 8,5 - 10,5 x 4,2 - 4,7 µm