|
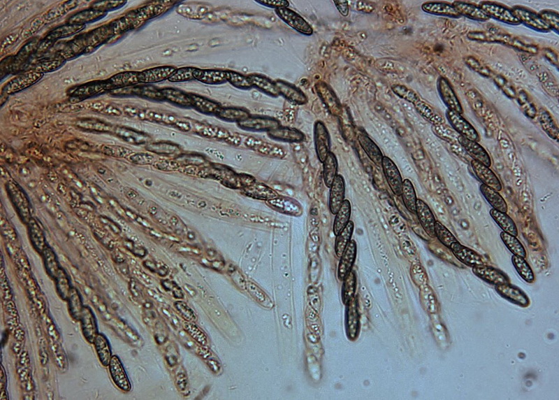
Helminthosphaeria corticiorum |
|
|
|
|
|





|
|
|
|
Gefunden: am 19.04.2016 in MTB 4804/2 Mönchengladbach (Volksgarten)
an Esche, auf Phanerochaete sordida!
leg. Bender, det. K.Siepe