Cheilymenia granulata var. elaphorum
Cheilymenia granulata (Bull.) J. Moravec, Mycotaxon 38: 474 (1990)

Home
zurück
 
 
 







Gefunden: am 08.03.2016 in MTB 4804/2 Mönchengladbach auf Pferdedung
Frk. ca.1,5 mm, gelbbraun, außenseite mit körniger Beschaffenheit, Rd. deutlich körnig überstehend Hyphen im Basisbereich mit eingeschnürten Zellen, äußere körnige Zellen bis 50 mµ breit,
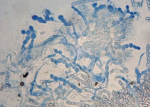
Asci: 130 – 150 x 12,2 – 13,2 µm
Paraphysen: 4 – 5,2 µm breit, septiert, oben keulig erweitert 8 – 13 µm
Sporen: 14,4 – 15 x 7,3 – 7,6 mµ, in Wasser etwas rauh- schwach streifig, in Melzer glatt,

Cheilymenia granulata var. elaphorum