Paratrichophaea boudieri
(Grélet) Bronckers, Sterbeeckia 23: 20 (2003)
= Lasiobolidium boudieri (Grelet) Van Vooren & Valade, in Van Vooren, Valencia, Carbone, Lindemann, Vega & Valade, Ascomycete.org 13(1): 25 (2021)

Home
zurück
 
 
 
 

Cheilymenia vitellina zusammen

 mit Paratrichophaea boudieri

 

Mikros unten  

  K.Müller

 


Paratrichophaea parvispora

Erstfund für NRW
Gefunden: am 23.06.2012 in Mönchengladbach (Volksgarten) MTB 4804/2 auf Erde zwischen hohen Brennnesseln.
An den Fundstellen sind in den Jahren zuvor große Mengen von Pappelholzhäckel verrottet.
Zwischen den von mir freigelegten Brennnesseln standen hunderte Fruchtkörper in kleineren oder größeren Ansammlungen.
Es wurde auch eine Aufsammlung auf Pappelblattresten gefunden.
Der erste Gedanke Trichophaea bicuspis bestätigte sich nicht, da die Haare nicht an der Basis verzweigt waren.
Für Scutellinia (nivea) waren auf Anfrage an Henk Huijser (Holland) die Haare zu schlank und die Receptaculumzellen zu klein und sah darin eher eine Trichophaea oder Paratrichophaea. Auch die Ansicht von K. Siepe ging in Richtung Trichophaea oder Paratrichophaea was die Auswertung der Aufsammlungen, welche ich auch an Karl Wehr und Krimhild Müller abgegeben hatte bestätigte.
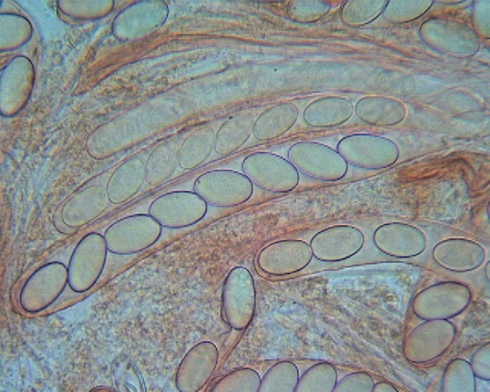
Die erbrachten Sporenmaße von bis 17,7 - 21 x 9,5 - 11.17µm und machten den Weg frei zu Paratrichophaea boudieri.
Die Asci sind 8 -sporig, Sporen sind ellipsoidisch, glatt ohne Tropfen, dickwandig, unreife Sporen zeigen einen diffusen granulären Inhalt.
Die Haare meiner Aufsammlungen waren bis 550µm lang, Junge kurze Haare waren an der Basis zwiebelig verdickt, was sich dann beim Auswachsen verliert.
An der Haarbasis konnten einzelne wurzelartige Auswachsungen festgestellt werden, auch einzelne hyaline Haare waren vorhanden.
Die Paraphysen sind schlank und zylindrisch und an der Spitze oft etwas unregelmäßig.
Benkert beschreibt mit P.parvispora eine neue Art, die er durch kleinere Sporen abtrennt.
Bronckers
beschreibt P.boudieri als sehr variabel, sowohl standortsbedingt (Dung, Blättern, Erde, Brandstelle, zersetztes Holz)
und die Größe der Sporen, Rand-, Flanken-, und Pseudohaare sollen abhängig von der Reife, dem Standort und Substrat sein.
Dank an alle die an der Bestimmung mitgeholfen haben.

Literatur:     Sterbeeckia 2003/23/9-27,     ZfM 2006/72/1/21-24,     ZfM 2010/76/1/32-33,     FUNGA NORDICA 4 Fotos,

siehe auch Trichophaeopsis bicuspis